New Method to Measure Brain Pressure to Forego Surgery

Lisa Franchi December 21, 2012

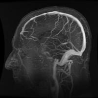
Measuring skull pressure through a non-invasive procedure is becoming closer to reality after scientists developed a system that only involved simple sound waves to be detected by a pair of headphones. Just like blood pressure, the human body controls and cushions the fluid pressure to prevent it from hitting the skull. But brain tumours as well as trauma

Read More

Why Physical affection with Parents Decline among Adolescents

Sharon Moore December 21, 2012

Back in the days, you used to cuddle with your baby, wrap her around your arms, kiss her cheeks, nose, and belly, and embrace her as if you will never have the chance to embrace her again. But as she grows up, the physical affection seems to fade. You rarely hug her. She rarely hugs you. You don’t even touch each other. The physical contact is gone alt

Read More

Mutation Hotspots in Genes Give Clues to the Causes of Autism and other Disorders

Helen Holmes December 21, 2012

An international team of researchers who studied autism found that some supposedly random gene mutations are not really random at all – interesting findings that offer clues to the real causes of autism and related disorders. The study, which was published in the journal Cell, involved sequencing the complete genomes of identical twins and their par

Read More

Hope: An Emotion or a Way of Thinking?

Rebecca Lewis December 21, 2012

When the world says, "Give up," Hope whispers, "Try it one more time." – Anonymous. Hope is a very powerful tool that motivates and inspires people to work harder in achieving their goals. If you are an optimistic individual, then you must be hopeful. Most psychologists consider it as a way of thinking, rather than being simply a

Read More

Smoke Free Christmas!

Monika Drozd, Hypnotherapy in London December 20, 2012

The Christmas rush is already here. Millions of Britons are out on the streets searching for those special gifts. We rush, we spend, we stress, and… we smoke! Smoking statistics produced by ASH in 2012 estimated that there are still about 10 million adults who smoke cigarettes in Great Britain. Every year over 100,000 smokers in the UK die from smokin

Read More

Blood Groups Possess Antibodies that Prevent the Spread of Virus, New Study Finds

Lisa Franchi December 20, 2012

Humans who are A positive are able to ward off viral infections obtained from B positive and O individuals, and those who are O positive can protect themselves from infections carried by both A and B positive. This is because each of the blood groups contains specific antibodies that hinder the spread of infections among its population, a new study found.

Read More

Why Admitting Your Feelings is Often Hard to Do

Helen Holmes December 20, 2012

You heard that the flu virus has kept your colleagues, friends and relatives tied to their beds and you feel worried about them. At the same time, you feel glad and thankful because you and your family are all well. Some people in the company you worked with get laid off and you feel sad and sympathetic for them. However, you feel relieved because you were n

Read More

Brain Can Map Negative Spaces in the Body, Scientists Say

Sharon Moore December 20, 2012

There is no doubt that the human brain is very powerful. In a recent study by the University of South Australia, scientists discovered that the brain has the ability to know which part of the body is healthy or neglected. The brain knows what area hurts Their findings were part of a research about the spatial perception of people with complex regional pa

Read More

7 Secrets of Creativity

Amy Taylor December 19, 2012

Creativity is not a gift only given to a chosen few. It is hard-wired in our brain. But just like a big box of treasure, you have to dig deeper and exert some real effort to get it! Here are the secrets to being creative: 1. Brainstorm with different people. Many people think that creativity is a result of a magical burst of insight. But years of re

Read More

New Research: REM Sleep Strengthens Emotional Memories

Lisa Franchi December 19, 2012

Past studies have linked sleep with the improved consolidation of memories, particularly the emotionally-charged ones. But for the first time, scientists found it doesn’t just consolidate, but also help retain such memories. People who experienced rapid eye movement (REM) sleep soon after being presented with scenes that have negative emotional impa

Read More